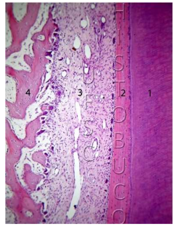
Considere o corte histológico abaixo, cujos tecidos estão numerados de 1 a 4.

A sequência correta dos tecidos, em ordem numérica crescente, é
dentina radicular, ligamento periodontal, cemento radicular e osso alveolar.
cemento celular, cemento acelular, ligamento periodontal e osso alveolar.
dentina radicular, cemento radicular, epitélio juncional e osso alveolar.
esmalte, dentina, epitélio sulcular e conjuntivo supracrestal.
dentina radicular, cemento radicular, ligamento periodontal e osso alveolar.