Imagem de fundo

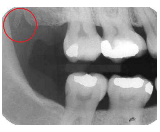
A estrutura que aparece atrás do túber da maxila, destacada na imagem abaixo, denomina-...

1
Q1472190
Anulada Esta questão foi anulada pela banca examinadora.
Teclas de Atalhos
Compartilhar

A estrutura que aparece atrás do túber da maxila, destacada na imagem abaixo, denomina-se:

A

Processo coronóide.

B

Processo estiloide.

C

Corpo da mandíbula.

D

Hâmulo pterigoideo.