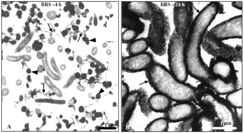
A microscopia eletrônica trouxe um grande avanço para a Microbiologia, ela é uma técnica muito utilizada nos estudos dos biofilmes. Devido ao seu alto poder de resolução, de cerca de 0,2 nm, é possível obter informações detalhadas sobre a distribuição e ultraestrutura das células. A figura a seguir mostra o aspecto em microscopia eletrônica de transmissão (MET) e análise elemental do biofilme pré-formado de 90 dias, após 4 (A) e 24 h (B), respectivamente, sobre os corpos de prova imersos em água corrente desaerada sob condições estáticas de fluxo d'água.

Com relação à metodologia, aplicação e imagens fornecidas pela técnica da MET, é correto afirmar que
a riqueza de detalhes estruturais reveladas pela MET tem proporcionado a identificação de espécies e a obtenção de informações importantes para a sua classificação. Na Paleontologia esse tipo de análise tem contribuído para distinção minuciosa de fósseis, em que os dados obtidos podem ser usados para fins estratigráficos. Assim, qualquer área de pesquisa que solicite conhecimentos de topografia superficial, a MET será de muito valor.
a MET é uma ferramenta bastante utilizada, tanto por pesquisadores das áreas biológicas, quanto das áreas de materiais. Ela pode fornecer rapidamente informações sobre a morfologia e identificação de elementos químicos de uma amostra sólida, portanto, sua utilização é comum em biologia, odontologia, farmácia, engenharia, química, metalurgia, física, medicina e geologia.
atualmente, a MET apresenta resoluções da ordem de 3.0 nm, com grande profundidade de foco, cerca de 300 vezes melhor que a do microscópio óptico, resultando em imagens com aparências tridimensionais. Utilizando-se elétrons de baixa energia, da ordem de 50eV, têm-se informações topológicas da amostra. Já com elétrons de alta energia, têm-se informações sobre topologia e número atômico.
a MET é muito utilizada na análise de materiais biológicos, porque permite a definição de imagens intracelulares, possibilitando observar a morfologia das células, aspectos gerais das organelas, a organização e a distribuição de constituintes subcelulares, a interação de parasitos-células, informando sobre alterações celulares ocasionadas por vírus, fitoplasmas, micoplasmas, bactérias, entre outros organismos diminutos, de impossível visualização na microscopia óptica.
a MET apresenta grande vantagem para o estudo de biofilmes e microrganismos que necessitem de imagens que ilustrem grandes detalhamentos. Uma das principais vantagens da MET é a sua capacidade de produzir imagens tridimensionais de diferentes objetos, sejam esses finos ou espessos.