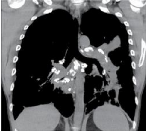
Paciente do sexo feminino, 46 anos, sem histórico de tabagismo, queixando-se de tosse seca e cansaço. A paciente realizou tomografia computadorizada como parte da rotina diagnóstica.

Em relação ao diagnóstico e às características radiológicas da sarcoidose, assinale a afirmativa correta.
Sarcoidose é causada por exposição ocupacional a poeira de sílica e caracteriza-se por granulomas caseosos nos linfonodos mediastinais.
Derrame pleural é um achado comum na sarcoidose e ajuda a diferenciá-la da silicose.
A sarcoidose é tipicamente identificada por nódulos pulmonares solitários e calcificações restritas a uma única cadeia de linfonodos.
O diagnóstico de sarcoidose é confirmado apenas pela ausência de exposição ocupacional e achados inespecíficos na tomografia computadorizada.
Os achados radiológicos típicos da sarcoidose incluem pequenos nódulos com distribuição perilinfática, opacidades parenquimatosas bilaterais perihilares e alterações fibróticas.