Imagem de fundo

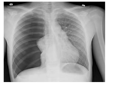
Após sofrer trauma de tórax contuso, determinado paciente de 35 anos de idade chega à e...

Compartilhar

Após sofrer trauma de tórax contuso, determinado paciente de 35 anos de idade chega à emergência e relata que é motorista de moto e colidiu contra um carro, com cinemática grave. Durante a avaliação inicial, o paciente encontra-se alerta, conversando, lúcido. A via aérea está prévia, ausculta pulmonar com murmúrio abolido à direita, expansão torácica assimétrica, sem sinais de choque ou instabilidade hemodinâmica, sem turgência jugular. Ele apresenta abdome flácido e indolor, pelve estável, sem outras alterações no exame físico. Os raios X de tórax a seguir foram realizados na admissão do paciente em unidade hospitalar.

Com base nesse caso clínico hipotético e na imagem radiográfica apresentada, e considerando os conhecimentos médicos correlatos, assinale a alternativa correta.

A
Esse paciente tem atelectasia pulmonar à direita, e a conduta no momento é a fibrobroncoscopia.
B
Fraturas de arcos costais à direita são visualizadas nessa imagem, e a conduta no momento é a fixação costal.
C
Um hemotórax à esquerda é identificado na imagem, e a conduta adequada é drenagem pleural esquerda.
D
Intubação orotraqueal é a medida imediata a ser tomada.
E
A imagem indica um pneumotórax à direita, e a conduta adequada é drenagem pleural direita.