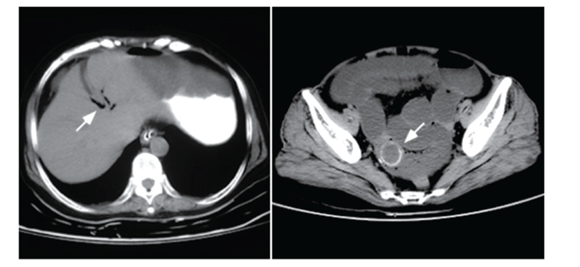
Paciente de 72 anos vem ao PS com distensão abdominal, com parada de eliminação de gases e fezes e com vômitos há 3 dias. Antecedentes pessoais de hipertensão e diabetes. Refere na história crises prévias de dor epigástrica em cólica e febre. Ao exame físico geral, apresentava-se desidratado +/4+, com sinais vitais normais e anictérico. Abdome com leve distensão e dor difusa a palpação profunda, com RHA pouco aumentados. Toque retal sem fezes na ampola retal. Solicitado uma TC de abdome.

Imagens do caso: Radiopaedia.
Em relação ao exame, qual a hipótese mais provável?
Íleo biliar.
Apendicite aguda com apendiculito.
Neoplasia mucinosa de apêndice.
Adenocarcinoma de cólon.
Obstrução intestinal por ingestão de corpo estranho (bezoar).